由賓夕法尼亞大學(University of Pennsylvania)領導的研究團隊,近期在《科學進展》(Science Advances)期刊發表成果,揭示了肼屈嗪(hydralazine)這種已有超過 70 年歷史的降血壓藥物的分子作用機制。該研究不僅解開了長期以來的作用謎團,還意外發現肼屈嗪對攻擊性腦腫瘤具有抑制效果。肼屈嗪目前做為妊娠高血壓的常用治療藥物,在降低孕婦及胎兒風險方面發揮重要作用。
研究表明,肼屈嗪透過抑制一種稱為2-氨基乙硫醇雙加氧酶(ADO)的氧感應酶發揮作用。ADO在低氧條件下會誘發血管收縮信號,而肼屈嗪與其結合後,阻斷ADO活性,進而降低血管平滑肌細胞內鈣離子濃度,促進血管擴張與血壓下降。賓夕法尼亞大學醫學科學家Kyosuke Shishikura表示,該發現不僅深化了對妊娠高血壓治療機制的理解,也為腦癌等難治腫瘤提供全新治療思路。

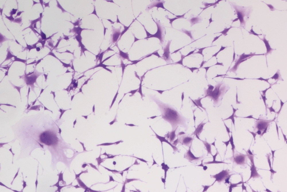
▲ 研究人員使用肼屈嗪處理人類膠質母細胞瘤腦腫瘤細胞三天。在第三天時(上圖),更多細胞變得腫大且扁平化──這是細胞衰老的標誌性特徵,即停止分裂的「休眠模式」,能夠阻止腫瘤生長。(Source:賓夕法尼亞大學)
特別是ADO通路在腦腫瘤細胞適應低氧環境生存上扮演關鍵角色。肼屈嗪可促使腫瘤細胞進入類似休眠的未分裂狀態,有望暫停其不受控制的增長。研究團隊計劃進一步開發具組織專一性的ADO抑制劑,增強藥效並降低對其他正常組織的影響,為腦腫瘤治療帶來革命性突破。
(首圖為示意圖,來源:shutterstock)






