不靠藥、不靠手術雷射,微晶片讓失明者重見光明

作者 | 發布日期 2025 年 10 月 21 日 11:30 | 分類 晶片 , 生物科技 , 醫療科技 line share Linkedin share follow us in feedly line share
Loading...
不靠藥、不靠手術雷射,微晶片讓失明者重見光明

在一項突破性的臨床試驗中,來自倫敦大學學院(UCL)和莫菲爾德眼科醫院的研究人員成功地為失明患者提供一種創新的電子眼植入物,讓他們重新獲得閱讀能力。

這項名為PRIMA(Photovoltaic Retinal Implant Microarray)的視網膜植入物,結合擴增實境眼鏡,能將視覺數據直接傳送到大腦,為乾性年齡相關性黃斑變性(AMD)患者帶來新希望。

根據《新英格蘭醫學期刊》發表的研究,參與試驗的84%患者能夠再次辨識字母、數字和單詞,這些患者的視力因地理性萎縮而完全喪失。手術後,這些患者平均能在標準視力圖上閱讀五行文字,而在手術前,他們甚至無法辨識視力圖。

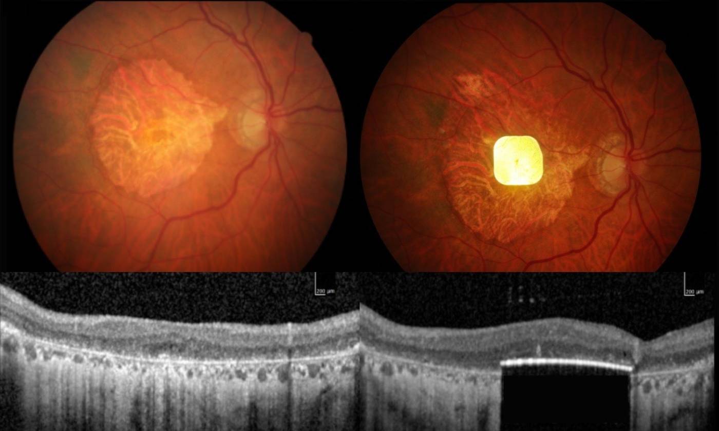
這項研究共招募了38名患者,分布於五個國家的17家醫院,莫菲爾德眼科醫院是英國唯一的參與機構。所有參與者在接受植入物之前,均已完全失去治療眼睛的中央視力。乾性AMD會逐漸破壞視網膜的光敏細胞,隨著時間推移,中央視力會逐漸喪失,最終可能導致完全失明。全球約有500萬人受到此病影響,至今尚無有效治療方法。

(Source:Science Daily

UCL眼科研究所的副教授Mahi Muqit表示,這項技術代表人工視覺的一個新時代,盲人患者能恢復有意義的中央視力,這在歷史上是前所未有的。他指出,恢復閱讀能力對患者的生活品質有著重大改善,能提升他們的情緒,並幫助重建自信和獨立性。

PRIMA植入物的手術過程包括去除眼睛的玻璃體,然後將一個2mm×2mm的微型晶片植入中央視網膜下方。手術後,患者需佩戴配備攝影鏡頭的增強現實眼鏡,這些眼鏡與一台口袋大小的電腦相連,計算機具備變焦功能。手術約一個月後,植入物啟動,眼鏡的攝影鏡頭捕捉視覺場景,並將其轉換為紅外線光束投射到晶片上。電腦中的人工智慧演算法處理這些數據,並將其轉換為電信號,這些信號透過視網膜和視神經細胞傳送到大腦,讓患者能夠感知視覺。

參與者在接受幾個月的康復訓練後,學會了如何使用眼鏡掃描文本並調整變焦以進行閱讀。值得注意的是,所有參與者的周邊視力均未出現下降。

其中一名患者Sheila Irvine(見首圖)分享了她的經歷,表示她希望參加這項研究以幫助未來的世代。在接受植入物之前,她的視力幾乎完全喪失,手術後她重新獲得了閱讀的能力,這讓她感到無比興奮。她提到,雖然學習再次閱讀並不簡單,但隨著時間的推移,她的能力不斷提高。

(首圖來源:莫菲爾德眼科醫院

延伸閱讀:

想請我們喝幾杯咖啡?

icon-tag

每杯咖啡 65 元

icon-coffee x 1
icon-coffee x 3
icon-coffee x 5
icon-coffee x

您的咖啡贊助將是讓我們持續走下去的動力

總金額共新臺幣 0
《關於請喝咖啡的 Q & A》