美國紐約大學發現,一種關鍵蛋白質能促進棕色脂肪組織血管和神經生長,活化此產熱組織。論文 25 日發表於《自然通訊》期刊,為治療肥胖提供新方向:不只抑制食慾,而是提升身體能量消耗。
棕色脂肪:天然的「代謝水槽」
人體大部分脂肪屬白色脂肪,負責儲存多餘能量,過量堆積便導致肥胖。人體還另一種較少量的棕色脂肪,是特殊組織,與體溫調節、新陳代謝及體重控制密切相關。當人體感覺寒冷受刺激,棕色脂肪會用葡萄糖和脂質產生熱量,稱之為「產熱作用」。

▲ 棕色脂肪組織。
研究資深作者、紐約大學牙醫學院分子病理學助理教授沙姆西(Farnaz Shamsi)解釋:「產熱過程所有化學能量都以熱能形式散逸,而非以白色脂肪儲存。棕色脂肪就像代謝水槽,能快速吸收並利用身體和食物營養,不會留在身體裡。」
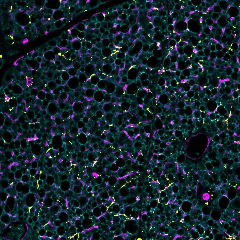
棕色脂肪需要密集神經和血管才能正常運作。神經負責與大腦溝通,當身體感覺寒冷時發出活化訊號;血管則輸送產熱所需的氧氣和養分,並將熱量分配至全身。過去研究多聚焦刺激脂肪細胞,較少關注支持血管神經如何形成維持。
SLIT3蛋白質:一分為二的精妙設計
沙姆西團隊之前以單細胞RNA定序,發現棕色脂肪細胞會釋放名為SLIT3的蛋白質,最新研究用人類和小鼠細胞做實驗,找出負責將SLIT3切割成兩個片段的酵素BMP1,發現兩個片段各有獨特功能:一個促進血管形成,另一個使神經生長。

▲ 棕色脂肪內的交感神經。
沙姆西表示:「這是一種分裂訊號機制,是演化的精妙設計──單因子的兩個組成部分,能獨立調控兩個時間和空間都需緊密協調的過程。」
團隊還發現名為PLXNA1的受體,能與SLIT3片段之一互動,調節棕色脂肪的神經發育。小鼠實驗顯示,移除SLIT3或PLXNA1受體後,小鼠對寒冷更敏感,維持體溫能力下降,棕色脂肪也缺乏正常神經結構和足夠血管密度。
與人類肥胖也有關
為驗證這些發現是否適用人類,研究員分析超過1,500名受試者的脂肪組織樣本,包括肥胖患者。結果顯示,SLIT3基因活性可能影響肥胖者的脂肪組織健康、發炎反應及胰島素敏感性。沙姆西說:「這引起我們關注,代表這機制可能與人類肥胖和代謝健康息息相關。」
目前多數減重藥物如GLP-1類藥物,主要是抑制食慾減少進食量,棕色脂肪療法卻能提升身體能量消耗,揭示多個潛在治療標靶,為開發新肥胖療法開路。沙姆西強調:「我們研究顯示,光有棕色脂肪還不夠,組織也必須有正確的基礎建設,才能有效產熱。」
- Scientists Discover Protein That Turns Brown Fat Into a Calorie-Burning Machine
- Scientists Discover Pathway That Activates Brown Fat
(首圖為棕色脂肪細胞,內有血管與神經。圖片來源:Shamsi Lab / NYU)






